







1) Immediate Implant placement with Socket & Soft Tissue Grafts
2) Soft tissue flaps – Split vs Full Thickness; Tunneling vs Full Flap
3) Palatal Soft Tissue Harvest – Strip vs Envelop; Keratinization vs Thickening
4) Autogenous Tissue Grafts vs Collagen Biomaterials
5) Dermal Grafts and Growth factors








The surgical aspect will focus on advanced implant procedures, GBR vertical and horizontal grafting, Sinus augmentation, Periimplantitis and complications in implant dentistry.
1) GBR horizontal and vertical bone grafting with collagen and TR-PTFE membranes, fixations pins and screws, bone grafts, biomaterials and Growth Factors in special plastic models and fresh pig jaw models
2) Full-arch straight and tilted implant placement and restoration in special plastic models
3) Sinus bone graft procedures using the lateral and crestal lift approach
4) Engaging implants (Straumann BLX and TLX) in special plastic models for socket and full arch treatment
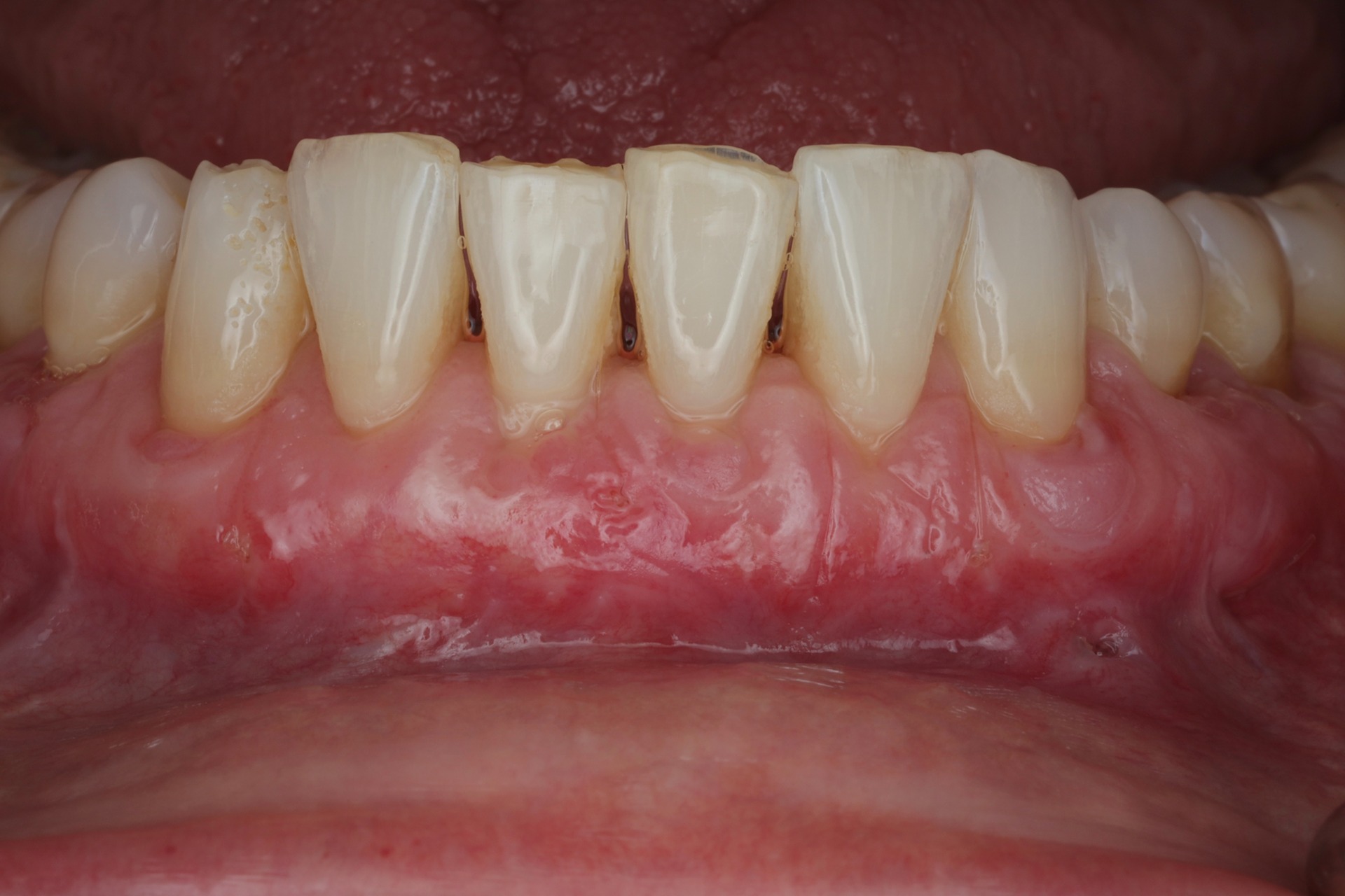
The patient treatment by faculty will focus on advanced surgical treatment with implant placement and GBR/soft tissue grafting in the Anterior esthetic zone.
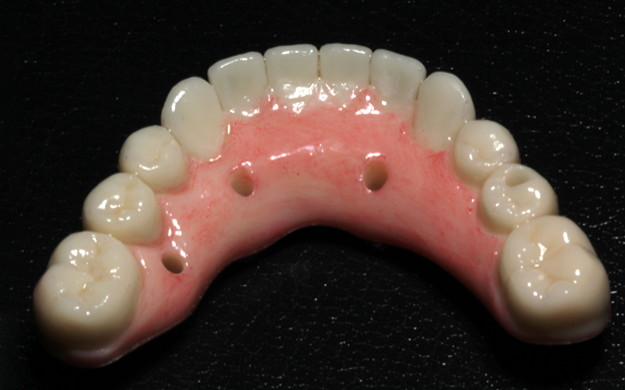
Full arch patient surgery with 3D surgical and stackable guides, implant scanning protocols with 3Shape and photogrammetry with PIC scanner and the delivery of a 3D printed full arch provisionals.
Daily Schedule 8:30 am to 5:00 pm (approximately) | Hourly program available on Day 1 of each session |Program is subject to change.















