Led by Drs Sascha A. Jovanovic, Ramon Meda, Piero Papi & Egon Euwe
Limited seats to ensure personalized mentorship
























March 11–14, 2026 | Vienna, Austria
With Drs. Sascha A. Jovanovic, Ramon Meda, Piero Papi & Egon Euwe
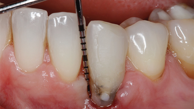
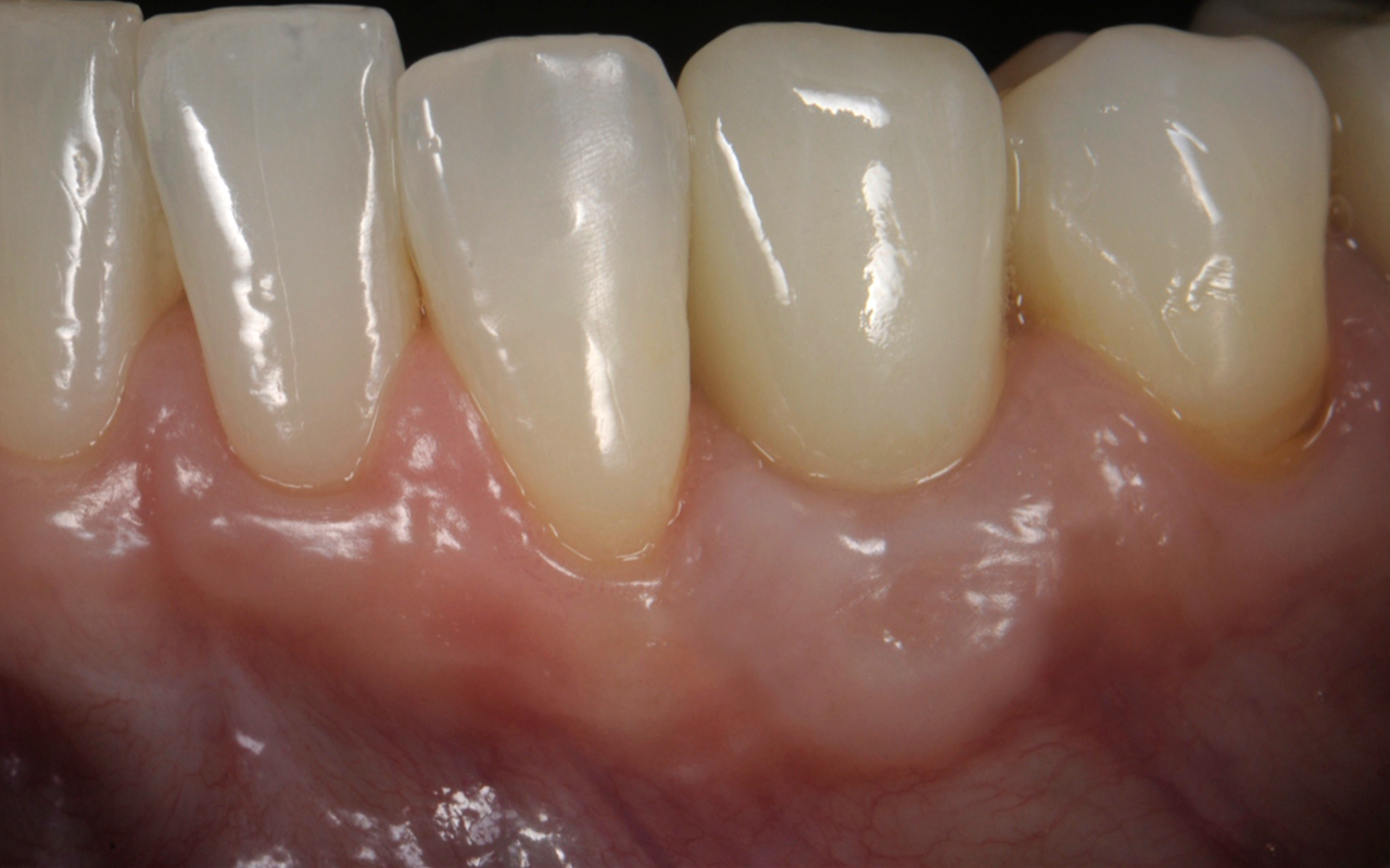
All aspects of soft tissue management and grafting before, during and after implant placement will be discussed as well as the complications seen with these procedures.
7 hands-on workshops with wet and dry models will highlight these procedures using microsurgical instruments and sutures. Advanced implant prosthodontics will be covered with lectures on full-mouth implant restorations, and mixed teeth/implant cases.




























General Dentist, Milan, Italy
Assistant Professor, “Sapienza” University of Rome
Dr. Piero Papi is a Researcher and Assistant Professor at the Department of Oral and Maxillo-Facial Sciences at “Sapienza” University of Rome, where he earned his PhD in 2021 studying systemic conditions and peri-implantitis. He has held visiting positions at top institutions including Harvard, UCL, and the University of Zurich, and was awarded Italy’s National Scientific Habilitation in 2020. A recipient of the “Young Pro Award” and several prestigious research grants, including the ITI Research Large Grant and the Italian Fund for Science Starting Grant, his work focuses on peri-implantitis and tissue regeneration. Dr. Papi has published over 70 scientific articles, lectures in postgraduate programs at “Sapienza,” and serves on editorial boards and scientific societies. He is also an international speaker and opinion leader for Straumann, Botiss Biomaterials, and Hu-Friedy.
Plastic Surgeon, Spain
Dr. Ramón Gómez Meda, a graduate of the University of Santiago de Compostela, is a renowned expert in periodontal plastic surgery, bone regeneration, and complex implant procedures. Based in Ponferrada, Spain, his practice focuses on advanced implantology, periodontics, and restorative dentistry. An esteemed educator and international lecturer, he leads hands-on courses in soft tissue management and guided bone regeneration. As a faculty member of gIDE and a published author in leading dental journals, Dr. Gómez Meda actively advances modern implant dentistry and regenerative therapies worldwide. His commitment to innovation and excellence has made him a sought-after speaker and mentor in the field of dentistry.
Periodontist & Program Chair, Los Angeles






















Registration includes 4 days of training, lunch and breaks. 32 CE credits, continental breakfast, lunch and breaks.
Day 1: 8:30 am to 5:00 pm
Day 2: 8:30 am to 4:00 pm
Day 3: 8:30 am to 5:00 pm
Day 4: 8:30 am to 4:00 pm
12217 W Pico Blvd Los Angeles, CA 90064
For more information, please call or WhatsApp +1 818.633.0752 or email admissions@gidedental.com.
To LEARN MORE and to REGISTER
please fill out the form below.